
こんにちは、町田メアリー歯科です。
今回は歯周病の進行によって溶けてしまった骨(歯槽骨)を
再生させる『歯周再生外科』についてです。
歯周病の治療のはホームページ内の診療案内にも書いてありますので
参考にしてください。
https://maryshika.com/medical_4_D
今回は歯周外科のなかでも『歯周再生外科』についてご紹介します。
歯周病とは歯を支えている骨(歯槽骨)が溶けてしまう病気です。
骨(歯槽骨)が溶けてしまう原因をざっくりというと
歯肉の中の細菌です。
歯周治療のメインは
歯肉の中の細菌、歯石を取り除き、
口腔内に細菌が可能な限り少ない状況を維持していくことです。
ただ、歯周病の怖い点は
『溶けてしまった骨(歯槽骨)は元に戻ることがない』
です。
歯肉の中の細菌、歯石を除去すると
歯周ポケットは減少しますが
基本的に溶けた骨(歯槽骨)は元に戻ることはありません。
それ以上骨(歯槽骨)が溶けるのを食い止めることが
基本的に歯周治療で達成できることです。
ですので、歯周病の『治る』は『元に戻る』とイコールではありません。
骨(歯槽骨)が溶けてしまった状態を
それ以上溶けない状態に維持することが
歯周病の治癒です。
『治癒』イコール『病状安定』
ということになります。
目安は歯周ポケットの減少と歯肉からの出血の減少です。
それ以上骨(歯槽骨)が溶けないようにすることは
とても大事ですが、
大きく骨(歯槽骨)が溶けてしまうと
病状安定してもその状態を維持することは大変で
再発するリスクが高いです。
そこで、溶けてしまった骨を再生させる治療が
『歯周再生外科』です。
歯周再生外科は
歯肉を外科的に開いて
歯肉の中の細菌、歯石、正常でない軟組織を徹底的に取り除き、
骨(歯槽骨)が欠損している部分に
再生材料を填入して
溶けてしまった骨(歯槽骨)の再生を促す治療です。
幾つか症例を紹介します。

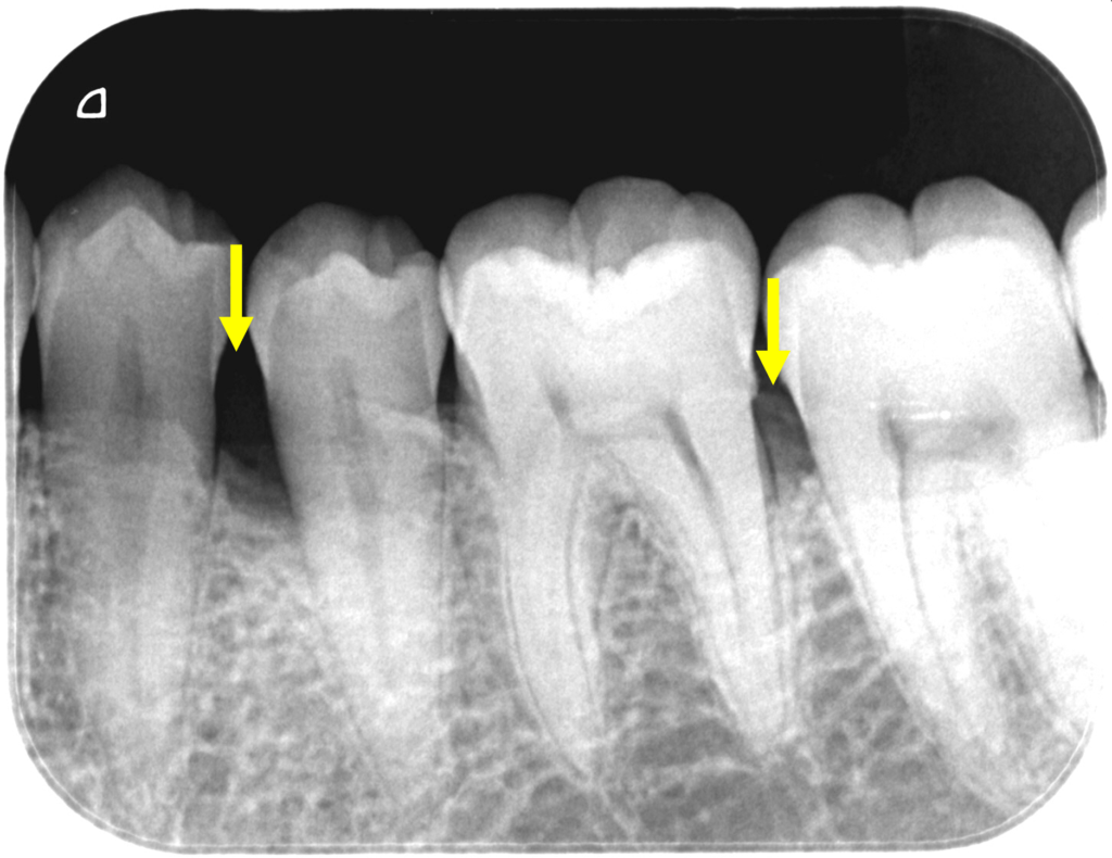
46歳男性です。
黄色い矢印のところの骨(歯槽骨)が溶けています。
歯周再生材料と人工骨を併用した歯周再生外科を行いました。

歯肉を開いて歯肉の中の歯根面に付着している歯石や骨(歯槽骨)が溶けている中の不良肉芽(正常でないない軟組織)を徹底的に除去し、
再生材料と人工骨と填入し、縫合しました。

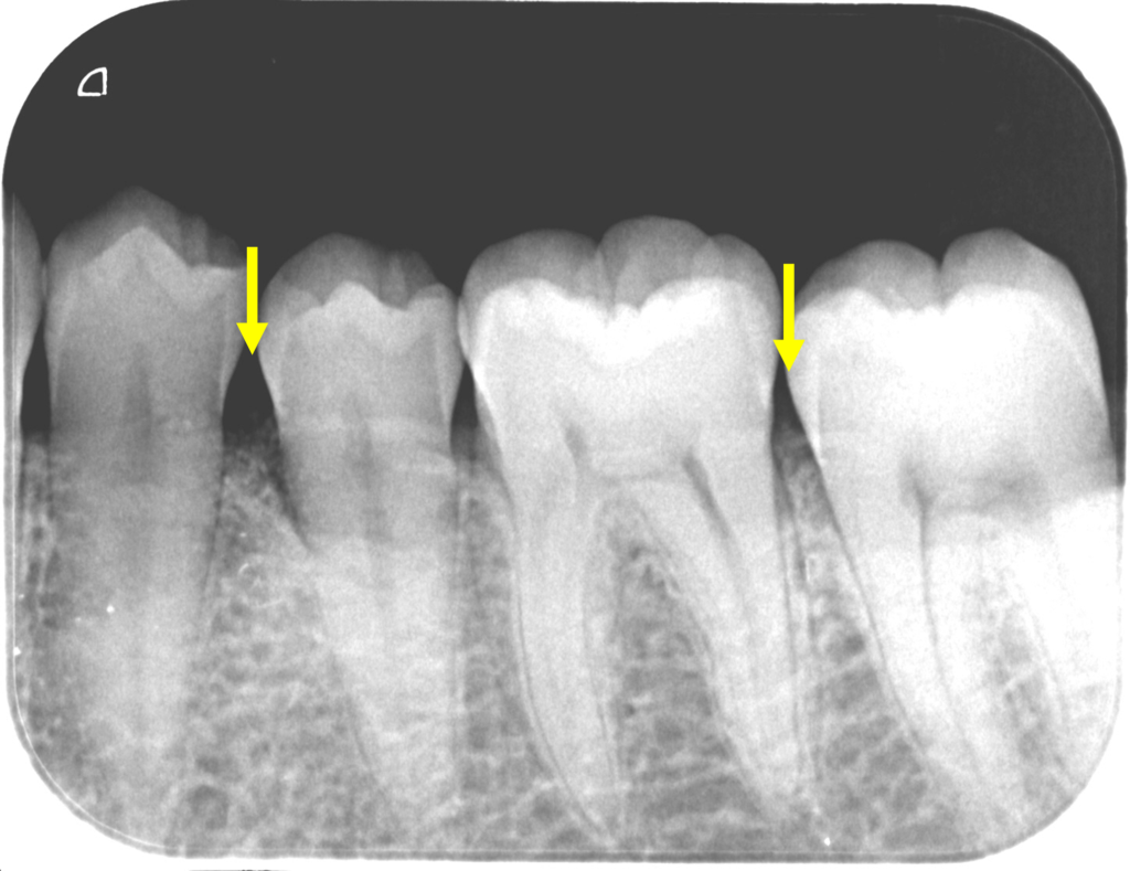
外科後2年です。
骨様組織で骨(歯槽骨)が溶けていた部分が満たされていることが確認できます。

治療前後です。

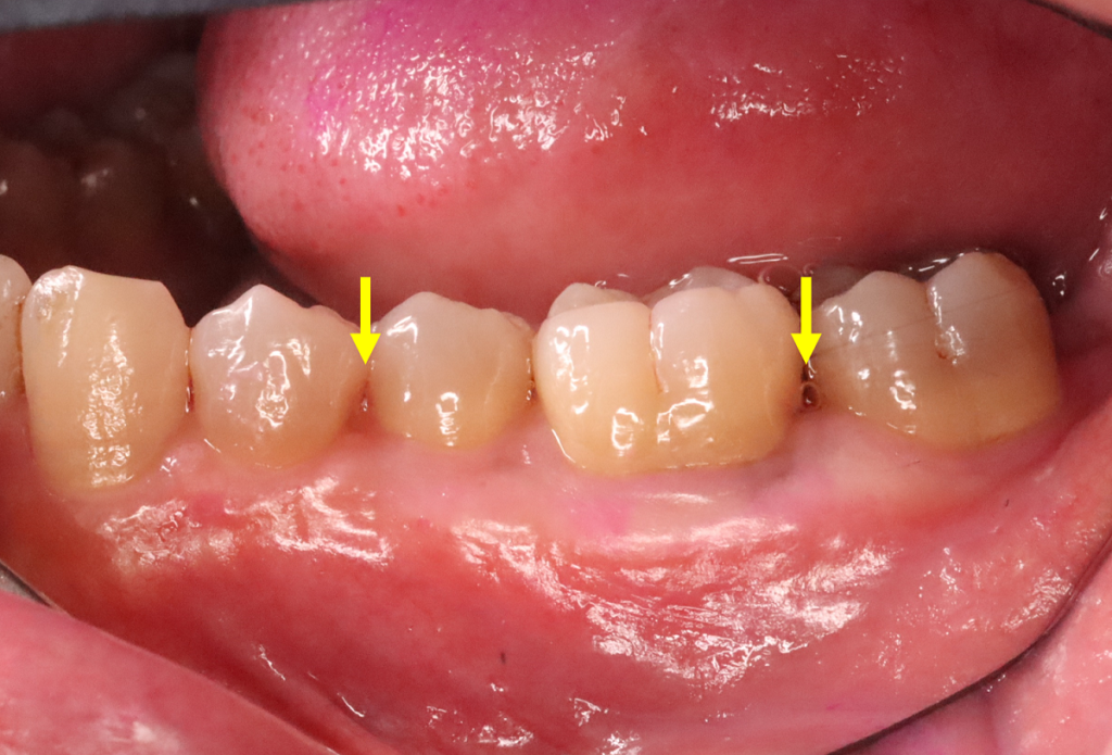
外科後2年の歯肉の状態です。
歯肉が下がっておらず、良好な状態です。
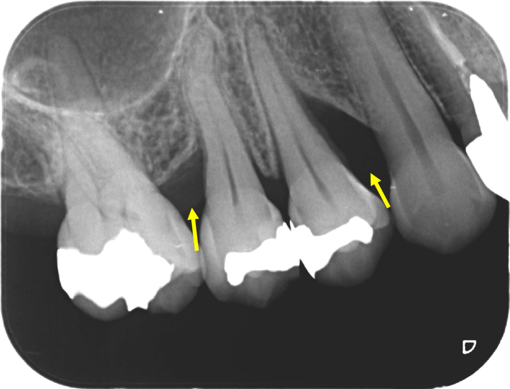
こちらの症例は51歳女性です。

矢印の部分の骨(歯槽骨)が溶けています。

歯肉を開いて歯肉の中の歯根面に付着している歯石や骨(歯槽骨)が溶けている中の不良肉芽(正常でないない軟組織)を徹底的に除去し、
再生材料と人工骨と填入し、縫合しました。


術前と術後1年半の比較です。
骨様組織で骨(歯槽骨)が溶けていた部分が満たされていることが確認できます。

術前と術後1年半の比較です。
歯肉退縮も最小限で良好な歯周組織を維持しています。
歯周病は完治がない病気で、
いかに病状安定を維持していくかにおいて
歯周再生外科は進行した歯周病に対して有効な治療です。
ですが、全てのケースに行えるわけではなく、
適応、不適応の判断は重要です。
また、再生外科が成功するか、そうでないかは
日々のセルフケアがとても重要です。
そして、歯周病はある程度進行してからでないと
症状がない病気です。
歯周病が不安、またはお困りの方は
ご相談ください。
©Machida Mary Dental Office
